Onkologisches Zentrum
In seinem Onkologischen Zentrum, das in der Region einzigartig ist, bündelt das Klinikum Ingolstadt die Expertise von acht Kliniken und Instituten bei Krebserkrankungen. „Krebspatienten können von der interdisziplinären Zusammenarbeit der acht Kliniken und Institute unter einem Dach sehr profitieren“, erklärt der Geschäftsführer und Ärztliche Direktor Dr. med. Andreas Tiete.
Das Zentrum arbeitet strukturiert mit Selbsthilfe- oder Patientenorganisationen sowie mit Selbsthilfe-Kontaktstellen zusammen und benennt dafür Ansprechpartnerinnen und Ansprechpartner.
Das Brustzentrum ist seit 16 Jahren, das gynäkologische Krebszentrum seit 11 Jahren von den Fachgesellschaften (Deutsche Krebsgesellschaft, Deutsche Gesellschaft für Senologie) zertifiziert. Im Brustzentrum behandeln wir alle Brusterkrankungen der Frau und des Mannes. Der Hauptschwerpunkt ist der Brustkrebs der Frau und des Mannes. Ein Großteil der Patientinnen können brusterhaltend mit schonenden Methoden operiert werden. In unserem gynäkologischen Krebszentrum behandeln wir die Patientinnen mit bösartigen gynäkologischen Unterleibserkrankungen, wie z. B. die bösartigen Erkrankungen der Eierstöcke, Eileiter, Gebärmutter, des Gebärmutterhalses sowie der Scheide.
Die Empfehlungen von eventuellen Folgetherapien (wie z.B. Bestrahlung, Chemotherapie, Antihormonbehandlungen) werden in unseren interdisziplinären Tumorkonferenzen der beiden Zentren besprochen. Anschließend werden unsere Patientinnen und Patienten über diese Empfehlungen im Rahmen eines Beratungsgesprächs ausführlich aufgeklärt. Ambulante und, bei Bedarf, stationäre Chemotherapien werden ebenfalls in unseren Zentren angeboten und durchgeführt.

Beide Zentren arbeiten in enger Kooperation mit mehreren Fachdisziplinen wie z.B. Radiologie, Onkologie, Anästhesie, Strahlentherapie, Pathologie, plastische Chirurgie. Speziell ausgebildete Pflegekräfte sowie Physiotherapeuten ergänzen das Behandlungsspektrum. Unsere spezialisierte Brustschwester kümmert sich ebenfalls um unsere Patientinnen des Brustzentrums bei der Beantwortung spezieller Fragestellungen vor und nach einer Operation und während einer eventuellen Folgetherapie. Unser Behandlungsangebot wird mit einer sehr guten und seit Jahren bestehenden Zusammenarbeit mit der Selbsthilfegruppe der bayerischen Krebsgesellschaft sowie dem Förderverein Krebskranker in der Region 10 optimiert. Die beiden Zentren sind in einem Umkreis von ca. 50 km die einzigen zertifizierten gynäkologischen Behandlungszentren für bösartige gynäkologische Erkrankungen und Brustkrebs.
Die Urologie versorgt die urologischen Tumoren: Prostatakrebs, Blasenkrebs, Nierenkrebs Hodenkrebs und seltene Tumoren wie Peniskrebs oder Tumoren im hinteren Bauchraum.
Die Klinik für Urologie zeichnet aus, dass sie den Patienten von der Diagnosestellung über die operative Therapie, oftmals auch multimodale Therapie, bis hin zu einem therapeutischen Ansatz, falls die Heilung nicht mehr möglich ist, aus einer Hand versorgen kann. So bietet die Urologie auch die medikamentöse Tumortherapie für die genannten Tumorentitäten an. Urologische Tumoren machen etwa ein Drittel aller Tumorneubildungen aus, insofern stellt die Uro-Onkologie einen beträchtlichen Schwerpunkt der Urologie dar.

Besonderheiten, welche die Klinik für Urologie auszeichnen, sind in der Diagnostik die Fusionsbiopsie bei Verdacht auch Prostata-Karzinom und die Roboter-assistierten, besonders patientenschonenden Operationen bei Prostatakrebs, Blasenkrebs und Nierenkrebs. Als eine der ersten Kliniken in Deutschland haben wir neben der radikalen Prostatektomie (Entfernung der Prostata unter Erhaltung der Potenz) auch die radikale Zystektomie (Entfernung der Harnblase) mit Harnableitung angeboten. Bei der minimal-invasiven Blasenentfernung zählen die Klinik zu den Pionieren in Deutschland, die das Verfahren komplett ohne Schnitt vornimmt.
In der Medizinischen Klinik II (Direktor Prof. Dr. med. Josef Menzel) – Sektion Hämatologie und Internistische Onkologie – werden bösartige Erkrankungen v.a. der Verdauungsorgane wie auch des blutbildenden Systems diagnostiziert und behandelt.
Unser hämatoonkologisches Team unter der Leitung von Dr. med. Christoph Schulz und Dr. med. Eva Wagner besteht aus hochspezialisierten und onkologisch geschulten PflegerInnen, Assistenzpersonal (MTAs und ArzthelferInnen) sowie Fachärzten für Innere Medizin und Assistenzärzten in der Weiterbildung Hämatoonkologie. Neben der stationären Onkologie mit 24 Betten stehen bis zu 6 Behandlungsplätze in der Interdisziplinären Onkologischen Tagesklinik (IOT) zur Verfügung.
Die Hämatoonkologie ist spezialisiert auf die Diagnostik und Behandlung von soliden Tumoren v.a. des Gastrointestinaltrakts, aber auch selteneren Entitäten wie neuroendokrine Tumoren/Karzinome, CUP-Syndrome, metastasierte gynäkologische Tumoren (in Zusammenarbeit mit der Abteilung Gynäkologie), sowie hämatologischen Neoplasien wie Lymphome, akute und chronische Leukämien und myeloproliferativen und myelodysplastischen Syndrome sowie weiterer nicht maligner hämatologischer Erkrankungen.
Im stationären Bereich erfolgt die zügige Diagnosestellung mit maßgeblicher Unterstützung der Gastroenterologie der Medizinischen Klinik II v.a. zur Biopsiegewinnung (sonographisch gesteuerte Punktionen, Endoskopie, Endosonographie) und der Radiologie sowie anhand der von uns durchgeführten Diagnostik (Knochenmarkpunktionen, ggf. auch in Sedierung, Pleura-, Aszites- und Liquorpunktionen).
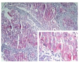
Dank der engen Zusammenarbeit mit der Pathologie Ingolstadt am Klinikum kann hier innerhalb kürzester Zeit eine histologische Diagnose erfolgen und weitere molekularpathologische Untersuchungen durchgeführt werden.
Nach Diagnosestellung wird jeder Patientenfall interdisziplinär in einer unserer onkologischen Tumorboards (z.B. GI-Tumorboard) besprochen und ein Therapieregime festgelegt.
Sollte im Verlauf einer Erkrankung der leitliniengerechte Therapiepfad nicht mehr ausreichend sein, kann über uns bei geeigneten Patienten eine Vorstellung im Molekularen Tumorboard (MTB) der Universität München LMU erfolgen, um weitere Therapieoptionen zu evaluieren.
Zudem besteht eine enge Zusammenarbeit mit dem Klinikum der Universität München LMU. Neben Patientenvorstellungen und Verlegungen werden Zelltherapien und hämatopoetische Stammzelltransplantationen in Kooperation mit des Medizinischen Klinik und Poliklinik III der LMU durchgeführt.
Die Therapiemöglichkeiten der Hämatologie und Internistische Onkologie am Klinikum Ingolstadt umfassen ein breites Spektrum von Chemotherapien, Antikörpern, Immunonkologika und neuen zielgerichteten Substanzen sowie die supportive Gabe von Wachstumsfaktoren, Antiinfektiva und Blutprodukten. Die Therapie erfolgt in Abhängigkeit vom Allgemeinzustand der Patienten in der onkologischen Tagesklinik oder stationär. Sollte eine begleitende Strahlentherapie erforderlich sein, wird dies in enger Zusammenarbeit mit der Strahlentherapie Ingolstadt eingeleitet und durchgeführt. Bei einer notwendigen oralen Tumortherapie wird der Patient an einen unserer kooperierenden ambulanten Onkologen angebunden.
Von uns behandelte Erkrankungen:
Solide Tumoren:
- Gastrointestinale Tumoren (Ösophaguskarzinom, Magenkarzinom, Dünn- und Dickdarmkarzinome, Analkarzinome, Pankreaskarzinom, Karzinome der Gallenwege/Gallenblase)
- Karzinome der Leber
- Neuroendokrine Tumoren und Karzinome
- CUP-Syndrome
- Metastasierte Sarkome (in Kooperation mit dem Klinikum der Universität München LMU)
- Metastasierte gynäkologische Tumoren (in Zusammenarbeit mit der Abteilung Gynäkologie)
- Metastasierte Hauttumoren/Melanome
- Metastasierte HNO-Tumoren
- Hirneigene Tumoren (Glioblastom)
Hämatologische Erkrankungen:
- Lymphome (diffus-großzelliges NHL, follikuläres NHL, M. Hodgkin, Mantelzelllymphom, usw.)
- Multiples Myelom
- Akute Leukämien in palliativer Situation oder Nachsorge
- Chronische Leukämien
- Myeloproliferative Erkrankungen
- Myelodysplastische Erkrankungen
- Nicht maligne hämatologische Erkrankungen (z.B. ITP, aplastische Anämie, Anämiediagnostik, Neutropeniediagnostik)
Die Klinik für Allgemein-, Viszeral- und Thoraxchirurgie stellt in Kooperation mit allen anderen Beteiligten eine wesentliche Säule der onkologischen Chirurgie dar. In allen Teilbereichen der Klinik werden Patienten mit onkologischen Erkrankungen versorgt und behandelt.
Durch die Portanlagen in der Allgemeinchirurgie wird die Grundvoraussetzung für multimodale Therapieansätze geschaffen.
Die Viszeralchirurgie deckt den kompletten Sektor der onkologischen Erkrankungen des Magen-Darm-Traktes von der Speiseröhre bis zum Enddarm ab. Hierunter fallen auch die onkologischen Erkrankungen des gastroenteropankreatischen Systems (GEP-Tumore, Tumore des Verdauungssystems). Ferner werden auch Tumore des Bauchfells (Peritoneum) und Hinterfells (Retroperitoneum) chirurgisch versorgt.
Durch neue chirurgisch-technische Strategien und Technologien ist es zu einem deutlichen Fortschritt der onkologischen Chirurgie am Klinikum Ingolstadt gekommen. Einen besonderen Fortschritt unter dem Gesichtspunkt einer patientenschonenden Behandlung versprechen der Einsatz des DaVinci-Roboters für die Darmchirurgie sowie die Verschiebung der Limits in der Chirurgie für Pankreas und Leber. Als bedeutendstes Projekt kann hierbei die Etablierung der ALLPS Technik angesehen werden, bei der durch eine zweiseitige Leberoperation mit Teilung und partieller Blutzufuhrdrosselung des später zu entfernenden Leberanteils eine Hypertrophie des verbleibenden Anteils induziert wird. Dies erlaubt die Entfernung auch sehr großer Tumore der Leber mit vermeintlich kleinem verbleibenden Rest, die ohne diese Strategie nicht möglich wäre.

Ferner konnte die Hypertherme intraperitoneale Chemoperfusion für die Bauchhöhle (HIPEC) und für den Brustkorb (HITOC) als Technik etabliert werden, was eine effiziente chirurgische Behandlung von Tumoren des Bauchfells und des Rippenfells zulässt.
Auch bei Weichgewebstumoren des Hinterfells ist ein Strategiewandel am Klinikum Ingolstadt umgesetzt worden und damit eine nachhaltigere Therapie möglich. Anstatt einer isolierten Tumorentfernung oder Ausschälung (nicht radikal) wird eine Kompartmentresektion mit Entfernung aller tumorbenachbarten Strukturen im Rahmen einer multimodalen Therapie für diese Erkrankung empfohlen. Die Kompartmentresektion erscheint auf den ersten Blick sehr ausgedehnt, ist aber die einzige Strategie, die das Wiederauftreten dieser aggressiven Tumorart mittelfristig verhindern kann. Diese Art der Therapie kann mit sehr hohem Sicherheitsstandard angeboten werden.
Analog ist im Rahmen der Thoraxchirurgie durch eine sehr große thoraxonkologische chirurgische Expertise auch die Behandlung von komplexen Tumorerkrankungen möglich. Dies ist gerade im Hinblick auf die Chirurgie von Speiseröhrenkrebs ein Meilenstein, da unter Mitwirkung beider Fachbereiche eine hocheffiziente und risikoreduzierte Chirurgie möglich ist.
Zusammenfassend ist daher in allen onkologischen chirurgischen Bereichen, ausgenommen der Organ-Transplantation, eine hocheffiziente – auf interdisziplinärer Therapieoptimierung basierende – chirurgische Versorgung nach aktuellstem Standard möglich.
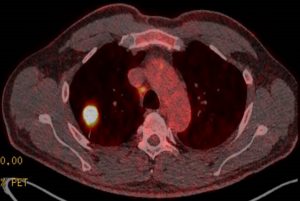
Das Behandlungsspektrum der Thorakalen Onkologie umfasst neben bösartigen Erkrankungen der Lunge sowie der Atemwege u.a. auch Tumore der Pleura und des Mediastinums. In den letzten Jahren sind insbesondere in diesem Bereich viele technische Fortschritte erzielt worden. Diagnostisch werden beispielsweise Untersuchungstechniken wie der endobronchiale Ultraschall zur minimal-invasiven Diagnosestellung oder neueste Methoden der molekularen Gewebediagnostik eingesetzt. Die gewonnenen Erkenntnisse tragen dazu bei im Rahmen von interdisziplinären Tumorkonferenzen unter Berücksichtigung des individuellen Patienten Therapieentscheidungen zu treffen. In Abhängigkeit des Tumorstadiums und des Gewebetyps stehen für die Patienten der Thorakalen Onkologie diverse Therapieoptionen am Standort zur Verfügung incl. medikamentösen (z.B. immunonkologische oder molekular-zielgerichtete Therapieverfahren), strahlentherapeutischen, interventionellen oder operativen Behandlungsoptionen.


Da sowohl die Diagnosestellung als auch die Behandlung selbst in der Medizinischen Klinik IV (Klinik für Pneumologie, Beatmungsmedizin und Thorakale Onkologie) angeboten werden, sind zeitnahe Therapieeinleitungen aus einer Hand unser Ziel. Die Zusammenarbeit mit den niedergelassenen Kollegen ist dabei stets von hoher Relevanz und trägt zur optimalen Behandlung unserer gemeinsamen Patienten bei.
Kooperationspartner:
- Comprehensive Cancer Center Ost des UKR (Ansprechpartner Prof. Dr. Tobias Pukrop)
- Tumorzentrum München
- Nationales Netzwerk Genomische Medizin (nNGM) Lungenkrebs (Ansprechpartner Pathologie des UKR Prof. Evert)
Kooperation mit Selbsthilfegruppen:
Psychosoziale Krebsberatungsstelle Ingolstadt,
der Bayerischen Krebsgesellschaft e.V.
Levelingstrasse 102, 3. OG I 85049 Ingolstadt
Im onkologischen Zentrum bieten wir folgende Spezialtechniken an:
- Hochkonformale Bestrahlungen
- Intensitätsmodulierte Strahlentherapie (IMRT/VMAT)
- Stereotaktische Radiotherapie an Kopf und Körper, u.a. bei Lungen- und Lebertumoren oder -metastasen
- Bildgeführte Bestrahlung mit Cone Beam-CT am Linearbeschleuniger (IGRT)
- Atemgesteuerte Bestrahlung, u.a. bei Lungentumoren und bei Brustkrebs
- Brachytherapie
Die wöchentlichen Tumorkonferenzen werden in den Demonstrationsräumen des Zentrums für Radiologie und Neuroradiologie abgehalten, in denen eine gemeinschaftliche Analyse der selbst erstellten, aber auch auswärtigen bildgebenden Verfahren und Untersuchungen erfolgen kann. Der verantwortliche Radiologe demonstriert die hierbei relevanten Befunde, die zur Entscheidungsfindung beitragen, insbesondere auch im Verlauf von Therapien.
Das Zentrum verfügt mit drei Computertomographen, zwei High-End-Angiographie-Anlagen und einem 1,5 T MRT über alle bildgebenden diagnostischen Verfahren in der Onkologie. Zusätzlich werden die meisten alternativen oder supportiven interventionellen Verfahren in der Tumortherapie wie z.B. Radiofrequenzablation, Chemoembolisation und Pfortaderembolisation sowie invasive diagnostische Verfahren zur bildgestützten Gewebeentnahme aus allen Körper-Regionen angeboten.
Die Pathologie Ingolstadt bietet das ganze Spektrum der modernen histologischen, zytologischen und molekularpathologischen Diagnostik. Alle für die moderne Tumortherapie entscheidenden Analysen werden ggf. in Zusammenarbeit mit Referenzzentren durchgeführt. Die Pathologie Ingolstadt führt zahlreiche qualitätssichernde Maßnahmen wie Qualitätszirkel, Ringversuche und klinische Obduktionen durch und ist bei der Deutschen Akkreditierungsstelle (DAkkS) akkreditiert.
