3.200 Patienten mit Covid-19-Computertomograph untersucht
7. Juli 2021
Das Klinikum Ingolstadt war vor einem Jahr das zweite Krankenhaus in Bayern, das eines der hochmodernen Computertomographiegeräte der bayerischen Staatsregierung für die Untersuchung von Coronapatienten im Haus installiert hat, um Patienten mit Verdacht auf Covid-19 schnell, einfach und vor allem räumlich getrennt auf das Virus zu untersuchen. Seitdem konnten mit dem neuen Gerät über 3.200 Patienten mit Verdacht auf Covid-19 untersucht werden.
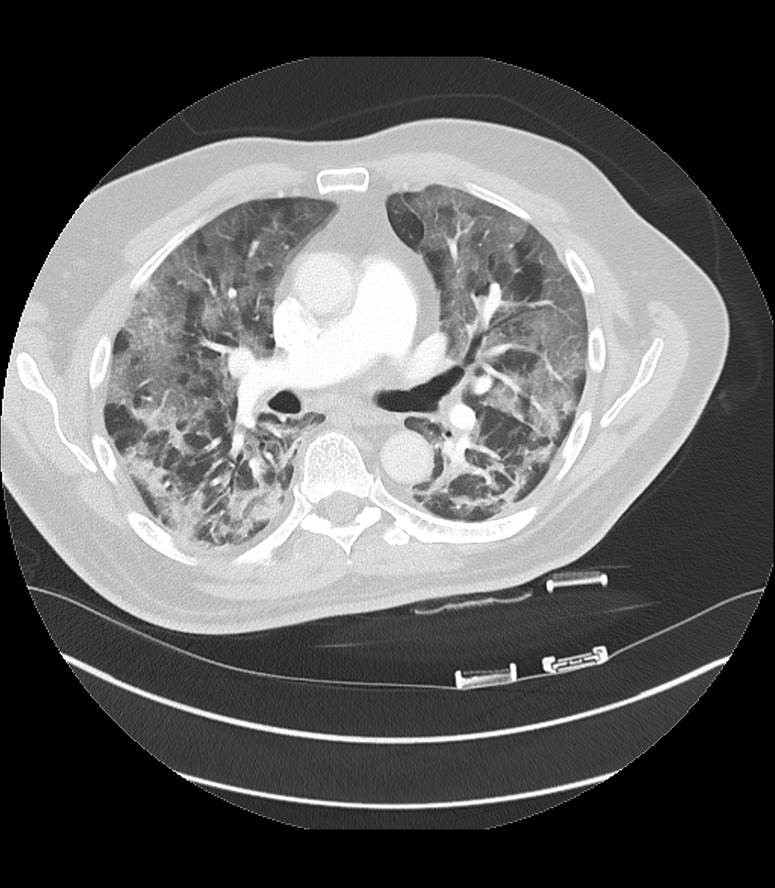
„Die Computertomographie war vor allem in den ersten Monaten der Pandemie bei der Diagnose der Patienten mit Verdacht auf eine Corona-Erkrankung eine wertvolle Hilfe“, sagt Prof. Dr. Dierk Vorwerk, Leiter des Zentrums für Radiologie und Neuroradiologie im Klinikum Ingolstadt. Damals – vor ziemlich genau einem Jahr – waren die Testmöglichkeiten beschränkt, Schnelltests gab es noch nicht wie in der jetzigen Form. Ein CT der Lunge konnte also schnell Auskunft darüber geben, ob eine Corona-Infektion vorlag. „Bei etwa der Hälfte der Betroffenen ließen sich die Anzeichen auf eine Covid-19-Infektion bereits ab dem dritten Tag nach Ansteckung feststellen – und das innerhalb von wenigen Sekunden.“ Trotzdem sei die CT-Aufnahme der Lunge niemals ein Ersatz für einen Labortest gewesen. Mit dem CT lassen sich lediglich die für Covid-19 typischen Veränderungen feststellen. „Ein Abstrich findet immer zusätzlich zur CT-Untersuchung statt“, so Prof. Vorwerk. Ist ein Patient an Covid-19 erkrankt, zeigt sein CT-Bild häufig wolkenartige Verdichtungen in den Außenbereichen der Lunge. Diese Milchglastrübungen seien typisch – aber nicht spezifisch – für die Krankheit.
Einsatz ausschließlich für Covid-19-Verdachtsfälle

Zum Screening, das heißt zur systematischen Untersuchung breiter Patientengruppen, wurde das Gerät allerdings nie verwendet. „Es muss ein klinischer Verdacht auf eine SARS-CoV-2-Infektion vorliegen, um Patienten mit dem CT-Gerät auf das Virus untersuchen zu können“, betont Prof. Vorwerk. Schließlich komme in der Computertomographie Röntgenstrahlung zum Einsatz. Diese werde zwar, dank der Low Dose Technik, in einer geringeren Dosis verwendet, dürfe nach dem Strahlenschutzgesetz aber nur bei begründeter Notwendigkeit zum Einsatz kommen.
Das Gerät setzt den Fokus speziell auf Untersuchungen der Lunge und eignet sich daher bestens für den Einsatz an Patienten mit Covid-19-Verdacht. Es wurde räumlich getrennt von anderen Geräten und Untersuchungszimmern in den Räumlichkeiten der Notfallklinik installiert. Die Vorbereitung der Räumlichkeiten, Umbau und technische Ausrüstung wurden von den beteiligten Abteilungen vor einem Jahr in Rekordzeit realisiert. Von der Radiologie betrieben, werden Untersuchungen am Gerät seitdem vom Notfallzentrum, der Infektionsstation und der Anästhesie angefordert – überall dort, wo Corona-Patienten behandelt werden. „Insgesamt wurden so innerhalb der vergangenen zwölf Monate über 3.200 Patienten an diesem Gerät untersucht“, sagt Christine Gunselmann, medizinisch-technische Radiologieassistentin, kurz: MTRA, am Klinikum Ingolstadt. Eine beachtliche Leistung der Ärzte und MTRAs, wenn man bedenkt, dass die sonstigen Untersuchungen ganz normal weiterliefen. Das Corona-CT wird vor allem genutzt, um eine Lungenbeteiligung bei Covid-19 festzustellen und von einer Lungenembolie zu unterscheiden sowie um den Verlauf der Krankheit zu untersuchen. „Wir können damit nachvollziehen, wie sich die Krankheit entwickelt und wie stark die Lunge beschädigt ist“, sagt Vorwerk.