Neuer Computertomograph zur Versorgung von Covid-19 Patienten
18. Juni 2020
34 hochmoderne Computertomographiegeräte hat die bayerische Staatsregierung aktuell für die Untersuchung von Covid-19-Patienten den Krankenhäusern des Freistaats zur Verfügung gestellt. Das Klinikum Ingolstadt hat nun als zweites Krankenhaus in Bayern eines dieser CT-Geräte installiert, um Patienten mit Verdacht auf Covid-19 schnell, einfach und vor allem räumlich getrennt auf das Virus zu untersuchen.

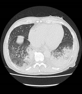
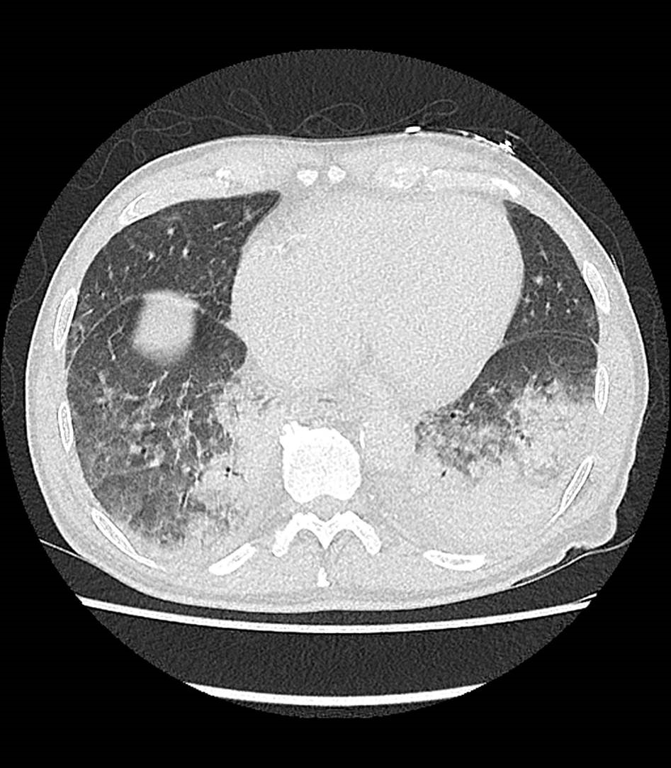
„Die Computertomographie ist bei der Diagnose der Patienten mit Verdacht auf eine Corona-Erkrankung eine wertvolle Hilfe“, sagt Prof. Dr. Dierk Vorwerk, Leiter des Zentrums für Radiologie und Neuroradiologie im Klinikum Ingolstadt. Bei etwa der Hälfte der Betroffenen lassen sich die Anzeichen auf eine Covid-19-Infektion bereits ab dem dritten Tag nach Ansteckung feststellen – und das innerhalb von wenigen Sekunden. Ein Abstrich zeige üblicherweise erst nach fünf Tagen an, ob ein Patient Covid-19 positiv ist, die Auswertung des Testergebnisses benötigt zusätzlich Zeit. Trotzdem sei die CT-Aufnahme der Lunge keinesfalls ein Ersatz für einen Labortest. Mit dem CT lassen sich lediglich die für Covid-19 typischen Veränderungen feststellen. „Ein Abstrich findet immer zusätzlich zur CT-Untersuchung statt“, so Prof. Vorwerk. Ist ein Patient an Covid-19 erkrankt, zeigt sein CT-Bild häufig wolkenartige Verdichtungen in den Außenbereichen der Lunge. Diese Milchglastrübungen seien typisch – aber nicht spezifisch – für die Krankheit.
Einsatz ausschließlich für Covid-19-Verdachtsfälle
Zum Screening, das heißt zur systematischen Untersuchung breiter Patientengruppen, sei das Gerät allerdings nicht erlaubt. „Es muss ein klinischer Verdacht auf eine SARS-CoV-2-Infektion vorliegen, um Patienten mit dem CT-Gerät auf das Virus untersuchen zu können“, betont Prof. Vorwerk. Schließlich komme in der Computertomographie Röntgenstrahlung zum Einsatz. Diese werde zwar, dank der Low Dose Technik, in einer geringeren Dosis verwendet, dürfe nach dem Strahlenschutzgesetz aber nur bei begründeter Notwendigkeit zum Einsatz kommen.
Das Gerät setzt den Fokus speziell auf Untersuchungen der Lunge und eignet sich daher bestens für den Einsatz an Patienten mit Covid-19-Verdacht. „Die Finanzierung des CT-Gerätes durch die Staatsregierung erlaubt uns eine Nutzung des Gerätes ausschließlich für die Behandlung von Patienten im Zusammenhang mit Covid-19“, betont Monika Röther, kaufmännische Geschäftsführerin des Klinikums. Es wurde daher räumlich getrennt von anderen Geräten und Untersuchungszimmern in den Räumlichkeiten der Notfallklinik installiert. Die Vorbereitung der Räumlichkeiten, Umbau und technische Ausrüstung wurden von den beteiligten Abteilungen in Rekordzeit realisiert. Von der Radiologie betrieben, werden Untersuchungen am Gerät vom Notfallzentrum, der Infektionsstation und der Anästhesie angefordert – überall dort, wo Corona-Patienten behandelt werden. Denn nicht nur bei der Diagnose von Covid-19, auch zur Untersuchung des Krankheitsverlaufs sei das CT geeignet. Dank des neuen Gerätes und der räumlichen Trennung lassen sich Untersuchungen nun leichter und in regelmäßigeren Abständen organisieren. „Das ist für uns eine enorme Erleichterung“, sagt Prof. Vorwerk.
Neben Erleichterungen im Kampf gegen das Coronavirus bringe das neue Gerät jedoch auch neue Herausforderungen mit sich. So wurde das CT-Gerät zwar von der Staatsregierung zur Verfügung gestellt, „Schulungen im Umgang mit der neuen Technik sowie das Personal zum Betrieb des Gerätes wird allerdings das Klinikum stellen“, sagt Monika Röther. Dies sei in der derzeitigen Situation eine herausfordernde Aufgabe.
